Признаки и симптомы
Классическая чума свиней наиболее часто проявляется в осеннее время, когда санитарный контроль ослабевает из-за большого количества продаж и убоя животных. Инкубационный период обычно составляет 5–8 дней, однако иногда бывает коротким (до 3 суток) или длинным (до 3 недель).
Внешние симптомы болезни можно различить сразу: свиньи слабеют, становятся вялыми и отказываются от пищи. При передвижении животных наблюдается шаткость походки, сгорбленность спинки и нарушение координации.
Чума у свиней проходит в разных формах, каждой из которых свойственны индивидуальные симптомы и поведенческие особенности.
Хроническая форма
Хроническое течение КЧС свиней обычно возникает на фермах, где питомцы привиты от заболевания, но содержатся в неподходящих условиях или неправильно питаются. Сначала чума поражает особей со слабым иммунитетом, затем заболевают крупные и выносливые. Продолжительность болезни может составлять 2 месяца, симптомы хронического течения следующие:
- сильный кашель;
- потеря аппетита с последующим возвращением;
- развитие экземы, язвы и раны на теле;
- изменение цвета кожи;
- физическое истощение, слабость и апатия питомцев.
Переболевшие особи становятся восприимчивыми к пастереллезу и паратифу. Кроме этого, после выздоровления животные остаются носителями вируса в течение года.
Симптомы хронической формы африканской чумы:
- Затруднение дыхания, кашель.
- Приступы лихорадки.
- Появление язвочек и открытых ранок на теле.
- Заметная потеря веса. Если болеет поросенок, то наблюдается сильное отставание в развитии.
- В большинстве случаев появляется тендовагинит и артрит.
Острая форма
Обеим разновидностям свиной чумы при остром развитии присущи такие симптомы:
- Резкое увеличение температуры.
- Развитие внутренних кровотечений и нарушения деятельности пищеварительной системы.
- Спазмы мускулов и отказ конечностей.
- Рвота и понос с кровью.
- Угнетенное состояние питомцев, слабость.
- На коже появляются гематомы и синяки.
- Воспаление, затрагивающее уши, нос и глаза.
Молниеносная форма
Молниеносное течение и африканской, и классической чумы длится 2–3 дня, после чего животные неизбежно умирают. Признаки заболевания схожи с острой формой недуга, однако развиваются стремительнее. При этом у отдельных свиней наблюдаются признаки поражения нервной системы — судороги, конвульсии и припадки, а также рвота, апатия и лихорадка. Чаще всего молниеносное развитие чумы встречается у молодых неокрепших поросят, еще не отлученных от матери.
Субацидная
Субацидная форма чумы у свиней присуща животным, которые приобрели условную устойчивость к вирусу. В этом случае болезнь может протекать в двух формах:
- кишечной;
- легочной.
Продолжительность недуга — 2–3 недели.
Кишечная форма
Кишечная форма присуща классической чуме свиней и характеризуется следующими симптомами:
- Развитие энтероколита, чередующегося с проявлением лихорадки.
- Задержка стула, которая сменяется поносом с кровавыми или гнойными выделениями.
- Пристрастия в еде резко меняются или же животное отказывается от пищи.
- Стремительная потеря веса.
Легочная форма
Чумка у свиней в легочной форме возникает, если одновременно с чумой животное заболевает пастереллезом. Этой форме присущи следующие симптомы:
- Развитие пневмонии, сопровождающейся сильным кашлем, одышкой и ринитом.
- Выделения с гноем из носа, кровотечение из слизистой рта.
- Лихорадка.
- Свиньи принимают сидячее положение, чтобы уменьшить болевые ощущения.
Течение и симптомы
Клинические симптомы проявления чумы имеют ряд сходств с признаками других заболеваний. Сначала у свиней резко увеличивается температура тела, возникает одышка, повышается жажда и утрачивается аппетит. По мере прогрессирования инфекции происходит ухудшение состояния животных. Африканская чума может протекать в разных формах, от которых зависит наличие конкретных признаков.
Сверхострый
Молниеносное течение, которое также называют сверхострым, чаще всего встречается у поросят. У зараженных свиней наблюдаются такие признаки, как повышенная температура от 41 градуса, учащенное сердцебиение, сбитое дыхание, образование ярких красных пятен на теле, рвотные позывы. При молниеносном течении чумы скот погибает спустя 1-2 дня.
Острый
Острое течение часто проявляется в начале эпизоотии. К характерным первым симптомам относятся:
- постоянный тип лихорадки;
- температура тела 40-41 градус;
- быстро прогрессирующая общая слабость.
Через несколько дней после заражения у животных развиваются анорексия, конъюнктивит, атаксия. Также появляются озноб, запор и рвота.
Подострый
Продолжительность подострого течения африканской чумы составляет 2-3 недели. Данная стадия проявляется признаками поражения дыхательных органов либо системы пищеварения.
Кишечная форма сопровождается энтероколитом, поносом, извращенным аппетитом. Животные начинают терять вес, ослабевать и тяжело передвигаться. Зараженный скот много лежит и в большинстве ситуаций погибает. При благоприятном исходе аппетит постепенно восстанавливается, симптомы проходят, и животные становятся более активными. После выздоровления свиньи в течение 10-12 месяцев остаются переносчиками вируса.
Хронический
Период хронического течения длится до двух месяцев и дольше. У зараженных инфекцией животных наблюдаются периодические поносы, непостоянная разновидность лихорадки, переменчивый аппетит, откашливание. Свиньи начинают сильно худеть, их кожа сморщивается, омертвевают окончания хвоста и ушей. Точные признаки заражения африканской чумы зависят от осложнений секундарной инфекции. При этом в каждом случае животные постепенно становятся похожими на заморышей. Показатель летального исхода варьируется в пределах 30-60%.
Течение подразделяют на молниеносное, острое, и реже хроническое. Болезнь протекает: сверхостро (2-3 суток), остро (7-10 суток) и реже хронически (2-10 месяцев).
При молниеносном течении животные гибнут без каких-либо признаков; при остром — у животных повышается температура тела до 40,5—42,0 °C, отмечаются одышка, кашель, появляются приступы рвоты, парезы и параличи задних конечностей.
Предлагаем ознакомиться Гибкий кирпич своими руками
Наблюдаются серозные или слизисто-гнойные выделения из носа и глаз, иногда понос с кровью, чаще запор.
В крови отмечается лейкопения (количество лейкоцитов снижается до 50—60 %). Больные животные больше лежат, зарывшись в подстилку, вяло поднимаются, передвигаются и быстро устают.
Отмечают слабость задних конечностей, шаткость походки, голова опущена, хвост раскручен, жажда. На коже в области внутренней поверхности бёдер, на животе, шее, у основания ушей заметны красно-фиолетовые пятна, при надавливании они не бледнеют (резко выраженный цианоз кожи).
Смертность, в зависимости от течения, может достигать от 50 до 100 %. Переболевшие и оставшиеся в живых животные становятся пожизненными вирусоносителями.
Признаки африканской чумы у свиней:
- резкое повышение температуры до 41,.5–-42 градусов;
- увеличение региональных лимфоузлов;
- снижение аппетита, отказ от комбикормов;
- парезы, паралич задних конечностей;
- нарушение пищеварительных процессов (запоры, диарея с примесями крови);
- анемичность, синюшность (цианоз) слизистых;
- затрудненное, поверхностное дыхание, одышка;
- подкожные отеки, кровоподтеки в подкожной клетчатке;
- резкий падеж животных;
- пневмония.
Нарушена координация движений, даже после малейшей активности инфицированные животные быстро устают. При пальпации лимфоузлов отмечают сильную болезненность. Аппетит понижен или отсутствует совсем.

Характерный симптом, который проявляется у зараженных африканской чумой свинок, –— появление темно-фиолетовых с красным отливом пятен на внутренней поверхности бедра, животе, шее, конечностях, боках, спине, пятачке, у основания ушных раковин.
Африканская чума свиней: признаки заболевания с фото
При исследованиях в лабораториях вирус свиной африканской чумы показал следующие характеристики:
- время инкубационного развития составило от 5 до 20 суток;
- было выявлено несколько периодов течения чумы: сверхострый, острый, подострый, хронический.
Практические наблюдения показывают, что в условиях реальности период инкубации чумы растягивается до 21 – 28 дней, но при этом больное животное не имеет существенных отличий от здоровой.
Симптоматика АЧС зависит от периода протекания болезни, а тот связан с подвидом возбудителя инфекции.
Сверхострый
Относится к самым коварным формам болезни. Нет клинических признаков, у свиней отсутствует недомогание. У животных нет кашля. Просто внезапная, моментальная гибель. Со слов владельцев, это выглядит следующим образом: животное стоит, ест, упало, умерло.
Острый
Инкубационное течение занимает от одного дня до семи, затем можно заметить следующие признаки:
- внезапно повышается температура до 42;
- наличие гнойных белых выделений, обладающих резким запахом из носа, ушей, глаз;
- животное выглядит слабым, безразличным и угнетенным;
- паралич задних конечностей;
- наличие рвоты;
- расстройство пищеварения с кровавыми примесями, сменяется запором;
- тонкие кожные участки за ушами, в области живота, под нижней челюстью покрываются кровоподтеками и синяками черного цвета.
У многих животных отмечается наличие пневмонии на ранней стадии АЧС, нередко основное заболевание маскируется под воспаление легких. У супоросных маток наблюдаются аборты.
Максимальный срок течения заболевания 7 суток. Перед летальным исходом у заболевшего животного резко понижается температура, наступает состояние комы, затем агония и смерть.
Подострый
Данный вид характеризуется длительностью болезни до 30 дней. Точного определения инкубационного периода не существует. У зараженной свиньи можно наблюдать следующую симптоматику:
- температура то понижается, то повышается;
- животное выглядит угнетенным;
- появляется лихорадка;
- нарушается сердечная работа.
Стоит заметить, что проявления сходи с пневмонией, именно поэтому заводчики начинают лечить животных именно от воспаления легких или лихорадки, даже не подозревая, что это африканская свиная чума. Ровно до того момента пока не происходит массовая гибель поголовья.
Конкретной данный этап характеризуется неожиданной смертностью, к которой приводит сердечная недостаточность или разрыв сердца.
Хронический
На сегодняшний момент нет четкого определения длительности инкубационного периода, да и сам недуг практически не поддается диагностированию. Хроническая форма способна маскироваться под целую коллекцию иных инфекционных недугов бактериального типа.
Можно наблюдать следующие симптомы:
- затрудненное дыхание;
- иногда лихорадка и небольшой кашель;
- нарушается работа сердца;
- появление незаживающих язв и ран на кожных покровах;
- свиньи начинают отставать в наборе массы, а у молодняка отмечается задержка в развитии;
- воспаляются сухожилия, что приводит к быстрому и прогрессирующему артриту.
Уже из симптоматики видно, что АЧС кроется за болезнями, которым легко поставить диагноз. Именно здесь и таится главная угроза ведь владельцы и зоотехники приступают к лечению заболеваний, которые находятся на виду. Свиньи проходят курсы против воспалительных процессов, проблем с сердцем, артритов и т.д. Но даже проверенные и действенные медикаменты оказываются бессильными перед напастью. Именно в этот момент нужно начать проведение тестов способных выявить свиную чуму.
Этиология, распространение
Впервые АЧС диагностировали у свиней в начале XX20-го века в Южной Африке. Болезнь была отнесена к природно-очаговым экзотическим инфекциям, которые часто диагностировали у популяций культуральных и диких свиней на территории Африки. Позднее вспышки заболевания отмечали в Португалии, странах Центральной, Южной Америки, Испании, а затем и в других странах мира. В РФ, странах СНГ АЧсС впервые диагностировали в 2008 г.
Возбудителем инфекционного заболевания является ДНК-содержащий вирус семейства Asfarviridae, рода Asfivirus. Существует два типа возбудителя. а именно: тип А, В и подвид С. Вирус африканской чумы свиней проявляет устойчивость к высоким температурам, различным факторам внешней среды. Не поддается заморозке, высыханию, гниению. Сохраняет вирулентность в средах при рН от 2 до 13. При температуре 5–-7 градусов может сохраняться до шести-семи 6–7 лет при благоприятных условиях. В трупах животных —– от 15 суток до 188-ти недель. В фекалиях вирус АЧС сохраняется до 160 суток. Не устойчив к повышенным температурам.
рекомендуемые статьи:
При 55-–60-ти градусах, термических обработках под действием высоких температур вирус инактивируется за 10–-12 минут.

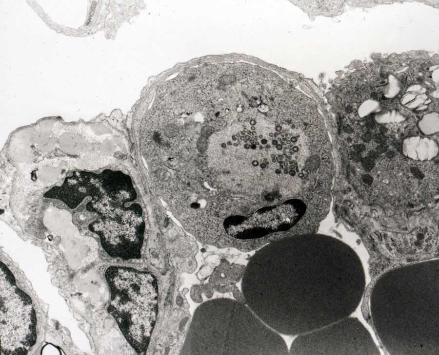
Макрофаг, пораженный вирусом африканской чумы свиней
Основной особенностью данной инфекции является то, что болезнь может проявляться различной симптоматикой, в зависимости от того, каким типом вируса заражено животное.
Заражению вирусом африканской чумойы подвержены все возрастные группы домашних, диких свиней независимо от пола, породной принадлежности.
Важно! Стоит отметить и то, что вирус АЧС практически невозможно полностью уничтожить в природе. К тому же, на сегодняшний день не разработана профилактическая вакцина от вируса африканской чумы. Нет эффективных лекарств, которые можно использовать в борьбе с данным недугом.
Нет эффективных лекарств, которые можно использовать в борьбе с данным недугом.
Учитывая многочисленные статистические данные, в неблагоприятных по АЧС государствах Америки и Европы чаще всего эпизоотические очаги возникают зимой, в начале весны, в холодный период года.
АЧС — что это такое
Заболевание также называют восточноафриканская чума и африканская свиная лихорадка. Это вирусная патология, относящаяся к особо заразным. Для людей болезнь не опасна, и заражение ей происходить не может. Экономический ущерб, который она наносит, крайне высок.
Заболевание септического характера и имеет острое, подострое, хроническое или даже молниеносное течение. Главными проявлениями АЧС являются характерные геморрагические высыпания, лихорадка и некротические изменения во внутренних органах.

Высыпания при АЧС могут быть различными.
Возбудитель болезни – это ДНК-содержащий вирус из семейства Asfarviridae рода Asfivirus. У этого вируса определено несколько генотипов и сероиммунотипов. У больных животных он обнаруживается в таких тканях:
- кровь;
- лимфа;
- клетки внутренних органов;
- внутренние жидкости.
Возбудитель болезни проявляет высокую устойчивость к гниению, из-за чего трупы зараженных животных подлежат только сжиганию. При термической обработке вирус погибает при температуре +70 градусов при ее воздействии не менее 30 минут. Не погибает возбудитель при замораживании, обработке кислотами и высушивании. Даже длительное вымораживание, в течение нескольких лет не уничтожает вирус, и он сохраняет свою способность к размножению. Эффективных препаратов для лечения пораженных животных не существует, так же как и эффективных вакцин.
Атипичная форма АЧС
Симптомы болезни проявляются по-разному у каждого заболевшего животного, что объяснимо мутацией вируса. Случается, что африканская чума развивается в атипичной форме. В этом случае свиньи мучаются от профузной диареи, а также лихорадки. На ушах, хвосте и других частях туловища видны кровоподтеки. Свиньи ослабевают, снижается их вес. Со временем масса их тела не прибавляется. Кожный слой морщинистый, уплотненный. Также у инфицированных животных присутствует ярко выраженный конъюнктивит либо гастроэнтерит. Инфекция приводит к гибели животного уже на третьи сутки после обнаружения начальных признаков болезни. Коэффициент смертности равен 30-65%.
Атипичной формой африканской чумы зачастую болеют маленькие поросята, которых в ранние сроки разлучили со свиноматкой. Также ей больше подвержены молодые свиньи, имеющие контакт с инфицированной особью, либо которые были заражены слабо вирулентными вирусными штаммами.
Несмотря на это, некоторое число поросят способно вылечиться от данного вируса без терапии. Остальная часть стада погибает, либо является транспортировщиком вируса в течение всей жизни. Заболевание способно протекать в более тяжёлой форме, если в ходе его развития присоединится вторичная инфекция.

Возможные осложнения, возникающие на фоне КЧС
Хроническое течение заболевания может привести к некоторым осложнениям, которые могут проявляться симптомами расстройства свиного кишечника и дыхания.
Например, при заражении сальмонеллезом больной классической чумой свиньи происходят сильнейшие расстройства пищеварения животного, которые выражаются в сильнейших кровянистых поносах с гнойными включениями. В результате свинки катастрофически быстро теряют силы, вес и неизбежно погибают.

Если на клиническую картину классической чумки накладывается пастереллез, то характерными проявлениями в таких случаях является сильнейший кашель, приступы которого буквально изводят животное на фоне гнойных выделений из носа и кровоточивости слизистой ротовой полости.
В некоторых случаях возможны смешанные осложнения заболевания, при которых перечисленные выше признаки суммируются. При таком развитии болезни гибель животных неизбежна.
Признаки заболевания
В лабораторных условиях вирус африканской чумы свиней проявил себя следующим образом:
- инкубационный период от 5 до 20 дней;
- четыре типа протекания болезни: острая, сверхострая, подострая и хроническая.
Однако по практическим наблюдениям в реальных условиях инкубация АЧС может длится до 3-4 недель, при этом внешне пораженное вирусом животное ничем не будет отличаться от здорового.
Признаки африканской чумы у свиней зависят от формы, в которой протекает заболевание. Она, в свою очередь, напрямую вытекает из подвида возбудителя заражения.
Признаки заболевания зависят от того, какой формой АЧС заболело животное.
Острая
Инкубационный период этой формы, согласно наблюдениям, длится от суток до недели. После чего появляются:
- резкое повышение температуры до 42 градусов;
- гнойные белесые выделения из ноздрей, ушей и глаз, с резким запахом;
- угнетенное состояние животного, безразличие и слабость;
- ярко выраженная одышка;
- парез задних ног;
- рвота;
- понос с кровью, сменяющийся запорами;
- на тонких участках кожи — за ушками, на животе, под челюстью внезапно возникают кровоподтеки, черные синяки.
Острая форма АЧС сопровождается резким ухудшением состояния животного и быстрой смертью.
Достаточно часто в самом начале прогрессии африканская чума сопровождается пневмонией, возможно, маскируется под нее. Беременные свиноматки при заражении неизбежно абортируют.
Сверхострая
Самая коварная форма этого недуга. Клиническая картина отсутствует полностью, не наблюдается никаких признаков недомоганий. Животные даже не кашляют. Просто умирают. Внезапно и моментально. По словам фермеров – стояла, ела, упала, умерла.
Подострая
При таком варианте развития недуга свинья болеет до месяца, инкубационный период точно не определен. У животного проявляются:
- скачки температуры;
- угнетенное состояние;
- приступы лихорадки;
- нарушения сердечной деятельности.
Подострая форма АЧС сложно диагностируется, так как имеет симптомы, схожие с другими распространенными заболеваниями.
При первых признаках этой формы вируса фермеры обычно начинают лечить животное так же, как и от пневмонии или лихорадок, достаточно долго не понимая, что свинья стала жертвой АЧС. Буквально до тех пор, пока не начинается массовый падеж.
Как правило, при этой форме АЧС свиньи умирают неожиданно, в результате сердечной недостаточности или разрыва сердца.
Хроническая
Инкубация не определена, само заболевание предельно сложно диагностировать. Дело в том, что при хронической форме возбудитель чумы маскируется целым букетом вторичных бактериальных инфекций.
Для клинической картины при этой форме характерны:
- затрудненность при дыхании;
- редкие приступы лихорадки и кашель;
- нарушения сердечной деятельности;
- язвы и раны на теле, которые не заживают, внешне схожие с трофическими язвами людей;
- животное существенно отстает в прибавке веса, если болеет поросенок, то на лицо общая задержка развития;
- часто развивается тендовагинит из-за поражения вирусом синовиальных оболочек;
- воспалительный процесс в сухожилиях приводит к появлению и быстрому прогрессированию артрита.
При хронической форме заболевания возбудитель чумы маскируется под другие бактериальные инфекции.
Вирус словно прячется под сменяющими друг друга явными и легко диагностируемыми инфекциями. Логично, что фермеры начинают лечить те заболевания, которые видят и они сами, и зоотехники. Животным проводят курсы от воспалений, от вагинитов, от артрита, от сердечных болезней, даже от гриппа. При этом проверенное и действенное лечение не дает никаких результатов. Это самый первый повод для того, чтобы насторожиться и провести тесты на африканскую чуму.
При хронической форме диагностировать истинную причину гибели поголовья, к сожалению, обычно удается лишь посмертно, в ходе клинических исследований на местах падежа скота. Длительность болезни в таком ее виде также точно не определена. Погибают зараженные свиньи либо от одной из видимых инфекций, либо от остановки сердца.
Чем опасна африканская чума
Африканская чума — опасное заболевание, которое может привести к гибели свиней, оно быстро распространяется. Поэтому каждый свиновод должен ознакомиться с правилами содержания животных и знать, что нужно предпринять для борьбы с вирусом. В частности, нужно:
- Соблюдать жесткий карантин в населенных пунктах, где выявлен вирус, чтобы предотвратить его распространение по другим хозяйствам, свинофермам, комплексам.
- Все без исключения свиньи, попавшие в эпизоотический очаг, убиваются; используется бескровный способ.
- Тушки животных сжигаются, без вывоза за пределы карантинной зоны.
- Остаток корма, фекалии вместе с инвентарем необходимо сжигать.
- Места, где содержались животные, которые не подлежат сжиганию, тщательно дезинфицируются сотрудниками ветеринарной службы.
- Бродячие животные, клещи, насекомые и грызуны также уничтожаются в полном объеме.
- Для того, чтобы указанные мероприятия были успешными, обрабатывается 20-километровая зона вокруг зараженных территорий.
- Устанавливается запрет на вывоз мясной продукции за пределы района на протяжении месяца после того, как были проведены дезинфекционные мероприятия.
- Еще полгода из указанных районов будет нельзя вывозить продукцию растениеводства.
- Целый год нельзя будет выращивать свиней на территориях, поддавшихся заражению.
Всем, кто занимается разведением свиней, можно дать несколько советов, выполнение которых поможет предотвратить заражение животных:
- Хозяйство не должны посещать посторонние и незнакомые люди.
- Животных нужно содержать без выгулов.
- Мелкие грызуны и кровососущие насекомые должны уничтожаться в регулярном порядке.
- Переведите животных на промышленные корма, подвергая их тепловым обработкам (температура должна превышать 80°С).
- Дикие и бродячие животные и птицы (к примеру, вороны, кошки, собаки, кабаны) не должны проникать в места содержания свиней — именно они часто переносят опасный вирус на большие расстояния.
- Инвентарь, с которым работают возле животных, стоит поддавать обработке.
- Собственники больших свинокомплексов должны пропускать транспорт, прошедший санитарную обработку.
- Перед убоем свиней должен осмотреть ветеринар и выдать заключение о том, что они здоровы.
- Сотрудники ветеринарной службы могут рассказать вам о том, насколько благополучен район будущего разведения свиней; обязательно поинтересуйтесь такой информацией.
- Продавец должен предоставить заключение о состоянии поросят, которые им продаются.
- Купленные поросята помещаются на семь дней в карантинные условия, только после этого соединить со стадом.
- В обязательном порядке должна быть проведена вакцинация свиней от различных инфекционных болезней.
- С ветеринарным врачом составьте план проведения осмотров.
- Если случился непредвиденный падеж необходимо сообщать ветеринарным органам. Запрещено выбрасывать на свалках или в самостоятельном порядке заниматься захоронением трупов животных; такая мясная продукция не подлежит обработке, ведь любые действия могут привести к распространению инфекции на значительной территории, нанеся значительный экономический ущерб многим хозяйствам.
Скорее всего, многие из приведенных рекомендаций могут показаться бесполезными или вообще невыполнимыми для индивидуальных хозяйственников, но только при жестком и неуклонном выполнении всех профилактических мер можно защитить животных от смертельного вируса. Запомните, что даже при малейших подозрениях на заражение, поголовье будет в полном объеме отправляться на принудительный убой, возникнут огромные потери. Рассматривая такие малоприятные перспективы, человек приходит к пониманию того, что жесткие профилактические мероприятия будут менее затратными, чем борьба с последствиями вируса.
Диагностика классической формы заболевания
Для постановки правильного диагноза существенное значение имеют такие первичные признаки, как общая слабость, вялость, снижение аппетита, повышение температуры тела животных. С другой стороны, такие проявления характерны для многих других болезней, в частности, АЧС. Более подробно об этой инфекции можно узнать в статье «Причины и симптомы африканской чумы свиней».

Типичная клиника классической формы патологии выявляется только определенными способами с помощью клинических, лабораторных, биологических, эпизоотологических, патологоанатомических методов исследования. Точная постановка диагноза возможна только при комплексном подходе.
Важнейшими клиническими показателями заболевания является лейкопения, наличие белка в моче, геморрагический диатез. Зачастую проводится специальная биологическая проба с ориентацией на контрольную группу животных со сформированным иммунитетом.
Вирус чумки исследуется методом флуоресцентных антител. Он заключается в изучении мазков, срезов лимфатических узлов, селезенки инфицированных животных.

Африканская разновидность чумы от классической ее формы различается с помощью серологического исследования крови.
Современные методы борьбы с инфекцией
На ранних стадиях заражения чумой проводилось лечение поросят с помощью гипериммунных сывороток. Эффективность таких терапевтических мер зависела от стадии болезни животного. На сегодняшний день существует разработанный фармакологический комплекс, который на ранних этапах заражения дает отличный результат
Важно вовремя определить заболевание и принять соответствующие меры

В целом, лечение КЧС не проводится, поэтому главным методом борьбы с вирусной свиной патологией остается вакцина. Высокую эффективность на практике показала методика комплексной вакцинации, которая направлена на предотвращение чумы, рожи, болезни ауески. Взрослых животных прививают один раз каждые десять месяцев, а поросятам вводят средство в количестве 2 мл на 50 и 75 день жизни
При этом важно использовать средство в течение 3-4 часов после приготовления. Ответственное и внимательное отношение к таким процедурам позволит сохранить здоровье свиней
Профилактика и меры борьбы
Чем опасна африканская чума свиней вы уже поняли, но как с ней бороться? Прежде всего, нужно позаботиться о защите свиноводческого хозяйства от проникновения вируса.
Мертвых свиней, их навоз, остатки корма, предметы ухода сжигают. Золу рекомендуют закапать в яму и смешать её с известью. Помещения и территории ферм дезинфицируют горячим 3 % раствором едкого натра, 2 % раствором формальдегида. В периметре 10 км вокруг очага болезни всех свиней убивают, а мясо перерабатывают на консервы.
Карантин снимают через 40 дней с момента последнего случая падежа, а разведение свиней в неблагополучном пункте разрешается не ранее, чем через 40 дней после снятия карантина.
Поросят нужно покупать только при наличии документов, выданных ветеринаром, а после покупки выдерживать в зоне карантина некоторое время. Необходимо регулярно прививать поголовье от основных заболеваний и периодически устраивать ветеринарный осмотр.
Не привозите на ферму инвентарь без предварительной обработки. Помещения для содержания свиней и кормов должны регулярно дезинфицироваться. Свиньи не должны контактировать с домашними животными.
Покупать корм для свиней рекомендуется с благополучных территорий свободных от африканской чумы, а перед кормлением нужно проводить термообработку пищи. Все это может показаться сложно выполнимым, но только так вы защитите поголовье от смертельного вируса.
На законодательном уровне борьба с АЧС предполагает принятие ряда мер:
- Карантин фермерских хозяйств и целых сел, где обнаружена АЧС.
- Бескровный убой всех свиней в зоне вспышки, после чего туши сжигают на месте с кормом и инвентарем.
- Дезинфекция помещений, где содержались свиньи.
- Истребление бродячих животных, грызунов и насекомых в 10-километровом радиусе.
- В течение месяца строгий запрет на вывоз и продажу свиноводческой продукции за пределы района.
- Годичный запрет на разведение свиней в зоне карантина.
Не забывайте, метода лечения африканской чумы свиней не существует, поэтому ее нужно стараться предотвратить всеми возможными профилактическими методами. Помните, лечение скота запрещено.
Как происходит заражение классической чумой свиней.
Заражение происходит при непосредственном контакте больных животных со здоровыми, а также алиментарным и респираторным путем. Возможно проникновение вируса через слизистую носа, конъюнктиву и поврежденную кожу.
Распространению болезни могут способствовать мясоперерабатывающие и заготовительные предприятия, не выполняющие ветеринарно-санитарных требований по содержанию животных и переработке продуктов и сырья животного происхождения, а также бесконтрольная торговля свиньями и продуктами свиноводства.
Важное значение имеют механические переносчики домашние, дикие животные, птицы и человек. Возможен перенос чумы жалящими насекомыми
Профилактика

Чтобы не допустить заражения свиней африканской чумой в свиноводческих хозяйствах, необходимо следить за качеством кормов, состоянием иммунной системы животных.
Регулярно нужно в помещениях проводить дезинфекцию, дератизацию. Нельзя использовать не продезинфицированный новый инвентарь.
Корма нужно приобретать в регионах, где не зарегистрированы вспышки АЧС. Перед скармливанием кормов пищи животного происхождения необходимо провести термическую обработку.
Не стоит допускать контакта свиней с другими плотоядными животными, обитателями соседних ферм, хозяйств.
Новых особей приобретайте только с ветеринарными документами., выдержав свинок некоторое время на карантине.
Убой животных нужно проводить в специально отведенных для этих целей местах. При малейшем подозрении на заражение вирусом африканской чумы, свиней изолируют и помещают в отдельное помещение. Сразу нужно связаться с ветврачом для проведения комплексной диагностики.
Важное место в проблеме профилактики африканской чумы свиней занимают меры по недопущению заноса вируса в свиноводческие хозяйства из неблагополучных стран. В этих целях установлен строгий надзор в международных морских и воздушных портах, а также на пограничных железнодорожных и шоссейных пунктах за недопущением ввоза домашних и диких свиней, продуктов их убоя и корма из стран, где регистрируется болезнь
В этих целях установлен строгий надзор в международных морских и воздушных портах, а также на пограничных железнодорожных и шоссейных пунктах за недопущением ввоза домашних и диких свиней, продуктов их убоя и корма из стран, где регистрируется болезнь.
Запрещается также экипажам судов, самолетов, бригадам поездов и водителям автобусов и грузовых автомобилей, следующих в нашу страну, доставлять на ее территорию закупленных в неблагополучных по африканской чуме свиней иностранных государствах животных и мясные продукты (кроме консервов) для питания людей.
Запрещается выносить на берег с борта судов мясо, мясопродукты, колбасы, завезенные из зарубежных стран, выбрасывать с судов, самолетов, вагонов и других средств транспорта пищевые отходы и мусор в акваториях морских портов, в воздушном пространстве и по магистралям железных и шоссейных дорог.
Обнаруженные при таможенном досмотре грузов и ручной клади пассажиров продукты убоя животных в сыром, замороженном, соленом, вареном, сырокопченом виде подлежат обеззараживанию и утилизации.
Установлен строгий контроль за сбором и обеззараживанием мусора, пищевых и других отходов, выгруженных с морских и речных судов, самолетов, из вагонов-ресторанов, рефрижераторов и других средств транспорта, прибывших из иностранных государств, независимо от их благополучия по африканской чуме свиней. Эти отходы сжигают в специально оборудованном месте.
Запрещается содержать свиней на территориях международных воздушных, морских, речных портов и пограничных железнодорожных станций. На свиноводческих фермах должны соблюдаться ветеринарно-санитарные правила по охране от заноса болезни, в том числе по режиму содержания и реализации животных, по использованию пищевых отходов и т. п.
Необходимость проведения жестких мер по профилактике африканской чумы свиней обусловлена отсутствием средств специфической профилактики и большим ущербом, который может быть причинен в случае заноса этой болезни.
При подозрении на африканскую чуму свиней необходимо принимать срочные меры по отбору патологического материала, направлению его нарочным в специализированную ветеринарную лабораторию (институт) для исследования и организации мероприятий по предупреждению распространения инфекции.
В случае установления диагноза в установленном порядке накладывают карантин на населенный пункт, район (группу районов), определяют границы эпизоотического очага, границы первой и второй угрожаемых зон и организуют необходимые меры по ликвидации болезни.
Устойчивость вируса
Возбудитель инфекции достаточно устойчив к физическим и химическим факторам. Так, если будем говорить о pH, то диапазон устойчивости огромный — от pH 3.9 (предположим, что желудочный сок имеет такую рН) до рН 11.5 (чтобы было понятнее, это, например, щелочи, мыло).
Вирус, который может находиться в жидкостях (кровь, лимфа) и органах павших или забитых животных, очень устойчив к температурам (минус 50 0С — до 7 лет; 18–20 0С — до 18 месяцев; плюс 37 0С — до 1 месяца; плюс 50 0С — до 1 часа; плюс 60 0С — 10 минут). В трупах диких кабанов и свиней он может жить от 2 до 10 недель.
Возбудитель АЧС сохраняется в продуктах свиного происхождения, не подвергнутых термической обработке (соленые и сырокопченые пищевые изделия, пищевые отходы, идущие на корм свиньям) до 5 месяцев и более.
В почве, где лежали павшие кабаны или их экскреты, вирус может находиться, в зависимости от времени года, от 4 (лето-осень) до 8 (осень-зима) месяцев.



























